Mr images of the heart are better than other imaging methods for certain conditions. Conventional mri sequences are adapted for cardiac imaging by using ecg gating and high temporal resolution protocols.
The Radiology Assistant Cardiomyopathy Ischemic And Non
Cardiovascular magnetic resonance imaging cmr also known as cardiac mri is a medical imaging technology for non invasive assessment of the function and structure of the cardiovascular system.

Read Online Cardiac Mr Imaging Download Free. We use novel cardiac mri sequences to understand the vessel wall in health and disease. Cardiac mri is a noninvasive tomographic nonionizing technique thus it has been clinically used for assessing expansion of infarcted segments late wall thinning of infarcted regions lv volumes distortion of lv shape and compensatory hypertrophy of non infarcted myocardium at ucsf mri is used for ischemic non ischemic heart diseases hypertrophic cardiomyopathy as well. Recent developments in magnetic resonance mr imaging of the heart have refocused attention on the potential of mr and continue to attract intense interest within the radiology and cardiology comm.
Mri is a noninvasive imaging technique that does not involve exposure to radiation. This advantage makes mri an invaluable tool in early diagnosis and evaluation of certain cardiac abnormalities especially those involving the heart muscle. The prognostic value of late gadolinium enhancement in non ischemic heart disease.
Cury and clerio azevedo. The role of contrast enhanced cmr in the assessment of patients. The development of cmr is an.
Cmr in heart transplants our lab works to better predict clinical outcomes in patients with orthotopic heart transplants using cardiac magnetic resonance imaging cmr and cardiac ct. This issue of mri clinics of north america focuses on cardiac mr imaging and is edited by drs.
Role Of Cardiac Mr Imaging In Cardiomyopathies
Figure 17 From Performing Cardiac Mr Imaging An Overview
Cardiac Mri Delivers Accurate Diagnosis For Frontline Chest
Cardiovascular Mri Peter S Allen Mr Research Centre
Cardiac Mri
Figure 3 Pet Mr Imaging In Evaluation Of Cardiac And
Figure 5 From Cardiac Mr Imaging State Of The Technology
Baseline Cardiovascular Mr Imaging Findings Download Table
Cardiac Magnetic Resonance Imaging Wikipedia
Cardiac Mri University Of Ottawa Heart Institute
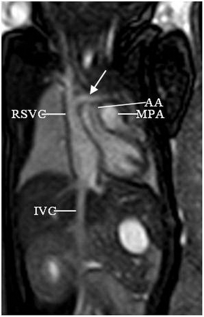
Mr Imaging Of Subaortic And Retroesophageal Anomalous
The Radiology Assistant Cardiomyopathy Ischemic And Non
Mr Imaging Of Arrhythmogenic Right Ventricular Dysplasia
Figure 7 From Mr Imaging Of Myocardial Infarction
Abnormal Subendocardial Perfusion In Cardiac Syndrome X
0 Response to "Cardiac Mr Imaging Kindle"
Posting Komentar